Idiopathic Thrombocytopenic Purpura Smear Gallery Mode [2022] Idiopathic Thrombocytopenic Purpura Smear Gallery Mode [2022]

Idiopathic Thrombocytopenic Purpura Smear

Oct. 30, 2025

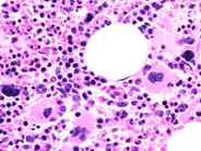
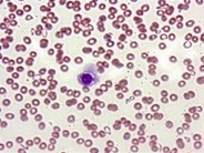
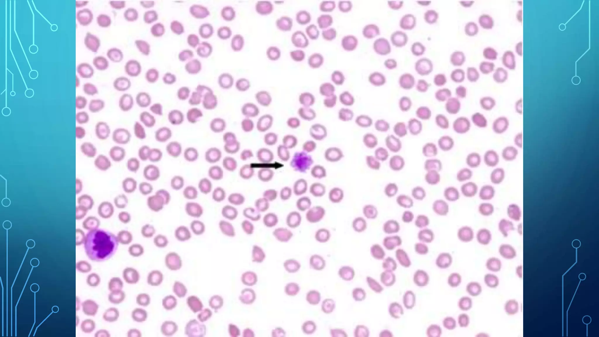
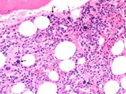
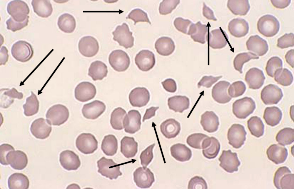
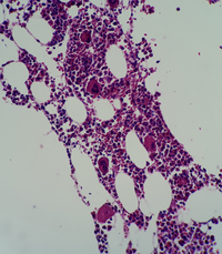
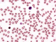
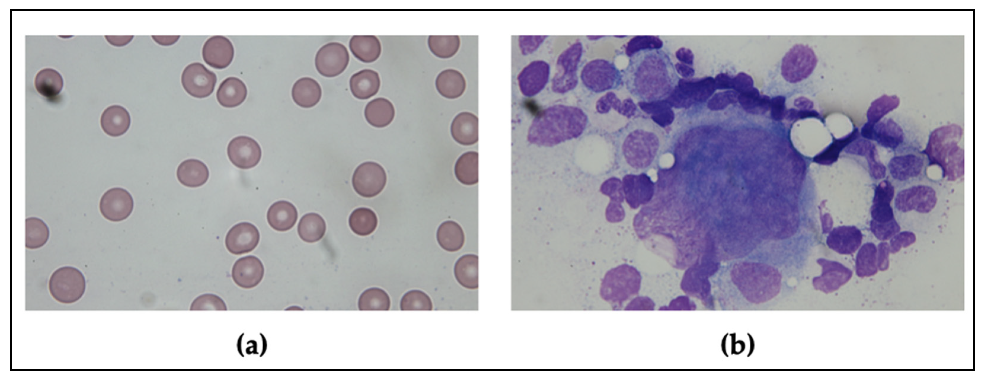
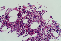
Idiopathic Thrombocytopenic Purpura - 2. Idiopathic Thrombocytopenic Purpura - 4. Immune Thrombocytopenia (ITP): Background, Pathophysiology, Etiology Giant thrombocyte in peripheral blood smear of an ITP patient ... Idiopathic Thrombocytopenic Purpura Smear